복수란 무엇입니까?
복수는 복막강에 체액이 축적되는 것을 특징으로 하는 질환입니다. 이러한 체액 축적은 일반적으로 질병의 징후입니다. 이는 말기 담도암과 같은 심각하고 생명을 위협하는 질병의 결과일 수 있습니다.


담도암
담낭암으로도 알려져 있는 담도암은 담관이나 담낭에서 시작되는 암의 일종입니다. 담관은 간과 소장을 담낭에 연결하는 얇은 관입니다. 담낭은 지방의 소화를 돕는 담즙을 저장합니다. 담도암은 비교적 드물고 60세 이상의 사람들에게 가장 흔히 나타나는 암의 일종입니다. 담도에 염증성 질환이 있는 여성과 여성에게 더 흔합니다.
말기 담도암
말기 담도암은 이 질병의 가장 심각한 형태입니다. 이는 암이 빠르고 공격적으로 진행되는 것이 특징이며 대개 통증, 황달, 림프절 비대 등의 증상을 동반합니다. 말기 담도암은 일반적으로 치료가 불가능하며 6개월 이내에 사망할 수 있습니다.
말기 담도암의 복수
복수는 말기 담도암의 흔한 증상이며 암으로 인해 복강에 체액이 축적되어 발생할 수 있습니다. 이로 인해 복부 팽만감, 통증, 호흡곤란 등 다양한 증상이 나타날 수 있습니다. 말기 담도암에서는 암이 간이나 췌장 등 다른 장기로 전이되어 복수가 발생할 수 있습니다. 또한 복수는 담관을 통한 담즙 흐름의 방해로 인해 발생할 수 있습니다. 이로 인해 담관에 압력이 증가하여 복강에 체액이 축적될 수 있습니다.
말기 담도암에서 복수의 진단
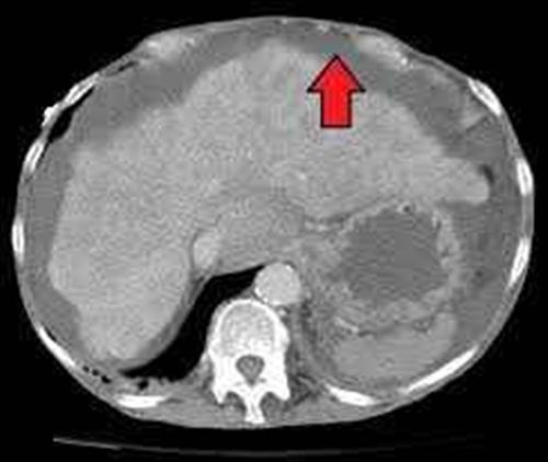
말기 담도암에서 복수의 진단은 신체검사와 CT 스캔, 초음파 등의 영상 검사를 통해 이루어집니다. 신체 검사 중에 의사는 간 비대, 림프절 부기 또는 복부 비대를 느낄 수 있습니다. 영상 검사는 복수의 존재를 확인하는 데 도움이 될 수 있으며 복수의 원인을 파악하는 데도 도움이 될 수 있습니다.

말기 담도암의 복수 치료
말기 담도암의 복수 치료는 일반적으로 증상을 완화하고 질병의 진행을 늦추는 것을 목표로 합니다. 치료 옵션에는 다음이 포함될 수 있습니다.
- 복수 배액: 초음파 유도 절차나 복강경 절차를 사용하여 복강에서 체액을 배출할 수 있습니다.
- 약물: 이뇨제는 복부의 체액량을 줄이는 데 사용될 수 있으며 스테로이드와 같은 다른 약물은 염증을 줄이는 데 도움이 될 수 있습니다.
- 수술: 담즙의 흐름을 차단하는 종양이나 종양을 제거하기 위해 수술이 권장될 수 있습니다.
- 방사선 요법: 방사선 요법은 종양을 축소하고 전이 위험을 줄이기 위해 권장될 수 있습니다.
- 화학요법: 화학요법은 암세포를 파괴하기 위해 항암제를 사용하는 것입니다.
이러한 치료 옵션 외에도 말기 담도암 환자는 질병과 관련된 증상 및 통증 완화에 초점을 맞춘 완화 치료를 받을 수도 있습니다.
말기 담도암에서 복수의 합병증
복수는 말기 담도암에서 여러 가지 합병증을 유발할 수 있습니다. 합병증에는 다음이 포함될 수 있습니다.
- 감염: 복부의 체액이 감염되어 패혈증으로 이어질 수 있습니다.
- 복통: 복부의 체액은 복통을 유발할 수 있으며, 이는 쇠약해질 수 있습니다.
- 호흡 문제: 복부의 체액이 폐를 압박하여 호흡이 어려워질 수 있습니다.
- 신장 기능 손상: 복부의 체액이 신장에 압력을 가하여 기능을 손상시킬 수 있습니다.
- 영양실조: 복부의 체액이 영양분의 흡수를 방해하여 영양실조로 이어질 수 있습니다.
말기 담도암의 복수 예방
말기 담도암에서 복수를 예방하는 가장 좋은 방법은 질병을 초기에 발견하는 것입니다. 질병이 조기에 발견되면 복수가 발생할 가능성이 있는 지점까지 질병이 진행되기 전에 치료를 시작할 수 있습니다. 또한 건강한 생활 방식을 유지하는 것이 중요합니다. 이는 담도암 발병 위험을 줄이는 데 도움이 됩니다. 질병 발병 위험을 줄이는 데 도움이 될 수 있으므로 좋은 영양을 유지하는 것도 중요합니다.
마치며
복수는 말기 담도암의 흔한 증상이며 심각하고 생명을 위협하는 질병의 징후일 수 있습니다. 복수 발생 위험을 줄이려면 질병의 조기 발견과 치료가 중요합니다. 말기 담도암의 복수 치료에는 배액, 약물 치료, 수술, 방사선 요법 및 화학 요법이 포함될 수 있습니다. 담도암 발병 위험을 줄이려면 건강한 생활 방식을 유지하는 것도 중요합니다.
또 다른 추천 글
https://cancerstory.co.kr/bbs/board.php?bo_table=webzin&wr_id=149
담도암 말기생존율과 나타나는 증상 및 식단관리
담도암 말기생존율과 나타나는 증상 및 식단관리담도암이란, 담즙이 간으로부터 십이지장 쪽으로 내려가는 통로인 '담도'에 생기는 악성적 병변을 의미합니다. 현재 왜 담도암이 발생하는지에
cancerstory.co.kr
'항암정보' 카테고리의 다른 글
| 암환자 고함량 비타민C 효능, 부작용은 없을까? (2) | 2023.12.12 |
|---|---|
| 대장암3기 2기와 큰 차이는 이것 (1) | 2023.11.22 |
| 자궁경부 제자리암과 침윤성암에 대한 차이 (0) | 2023.10.09 |
| 아르기닌 효능, 암환자에게 이로울까? (0) | 2023.08.31 |
| 유방암환자 뼈전이 치료와 예방에 좋은 음식 (0) | 2023.08.14 |